Blefaroplastia
Quando fazer ?
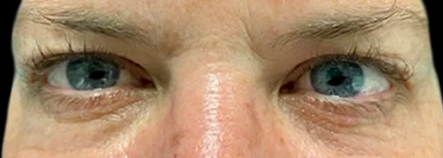
Não existe idade específica; os chamados papos nos olhos, aumento de olheiras e do excesso de pele das pálpebras começam a aparecer por volta dos quarenta anos, mas em certos casos a herança genética, doenças concomitantes, stress ou noites mal dormidas levam a que apareçam mais cedo. Aconselha-se a fazer a blefaroplastia , quando começa a notar o papo , mesmo quando dorme bem. Alem de dar um aspeto mais velho, essencialmente dão um ar triste e doente. Sendo uma cirurgia extremamente simples, é o único meio de resolvê-lo ou atenuá-lo.
Outra situação, que ocorre cada vez mais na população idosa, é o Ectropion, ou seja, uma flacidez da pálpebra inferior que leva esta a afastar-se do globo ocular, desprotegendo-o e criando uma situação de inflamação crónica da córnea. A Blefaroplastia com Plastia do tarso permite também a correção desta situação.
Muitos Oftalmologistas pedem ao cirurgião plástico para realizar esta intervenção antes de operar Cataratas, Miopia ou outras patologias Oftalmológicas, pois consegue-se um maior ganho final em termos de melhoria da visão e de proteção do globo ocular, nomeadamente no caso de Ectropion Senil.
A ocidentalização do olho oriental, também é uma situação em que a Blefaroplastia é cada vez mais procurada. Consegue-se retirar uma gordura na face interna da pálpebra superior que lhe dá o tal aspeto inchado oriental e preguear a pálpebra superior.
Pode ser realizado com anestesia local ou sedação, preferencialmente esta última na Blefaroplastia das pálpebras inferiores, pois permite um maior conforto para o paciente. Não é necessário internamento. Demora cerca de trinta minutos a uma hora.
Terá de prever cerca de quinze dias de recuperação, período durante o qual fica edemaciado e com equimoses. O pós-operatório não é doloroso. Recomenda-se aplicação de gelo durante os primeiros dias de modo a facilitar a recuperação. Os olhos não são tapados no pós-operatório e pode continuar a vida normal se tapar a região dos olhos com uns óculos bem grandes, de modo a não se ver as equimoses.
A cicatriz da pálpebra superior fica na prega palpebral, como tal fica escondida e habitualmente clareia, tornando-se impercetível em cerca de dois meses. A cicatriz da pálpebra inferior fica junto às pestanas e, portanto, impercetível ao fim de cerca de quatro semanas. No caso da incisão subconjuntival, a abordagem é feita na parte interior da pálpebra. Esta abordagem permite retirar ou reposicionar as bolsas de gordura, mas não permite remover o excesso de pele quando existe. Ao fim de quinze dias, pode maquilhar-se, o que permite disfarçar as cicatrizes na fase inicial. As complicações são extremamente raras em mãos experientes.
O principal receio é ficar com alteração da dimensão da fenda palpebral, o chamado olho redondo, o qual é estigma de cirurgia. Claro que é possível se fizer a cirurgia com um profissional que não seja experiente e sensível a este aspeto. Um resultado natural, isto é, mantendo a forma inicial da sua fenda palpebral, é o objetivo desta cirurgia.
A pálpebra inferior ficar afastada do globo ocular, o chamado ectropion, é uma situação possível nalguns casos em que a pálpebra está muito flácida devido à flacidez de uma parte da pálpebra chamada tarso. Quando tal ocorre, é facilmente resolvível pelo seu cirurgião. Outro receio é que esta cirurgia interfira com a visão. Nada mais errado, na Blefaroplastia, não se toca nos tecidos moles da pálpebra, as estruturas do globo ocular estão bem protegidas e longe do alvo cirúrgico. Pelo contrário, este procedimento, principalmente nas pálpebras superiores, ao retirar o excesso de pele que funciona como uma cortina, dá a sensação de ver melhor, de maior campo visual.
«Quanto tempo vai durar o resultado e quando voltam de novo os papos?»
É uma pergunta frequente à qual é impossível responder, pois depende de cada caso. Pode acontecer de cinco a quinze anos, mas seguramente nunca vai voltar ao grau que tinha anteriormente.
Outro mito é «se fizer a cirurgia ainda nova, será que posso repetir anos mais tarde? Não será melhor esperar mais uns anos?» Esta cirurgia deve ser feita quando há indicação clínica, independentemente da idade. Se o fizer ainda numa fase em que as alterações do envelhecimento são mínimas, será menos notório para os outros e no futuro manter-se-á com um olhar jovem. Se ao fim de uns anos precisar novamente, poderá fazê-lo e habitualmente é mais simples e menos notório.
Embora o tratamento a laser de CO2 fracionado possa retrair a pele, não trata os papos. A pele fica inicialmente muito vermelha, mais sensível ao sol e pode manchar, pelo que é preferível a cirurgia com abordagem externa sempre que existe excesso de pele associada aos papos.
Imagens antes e depois











